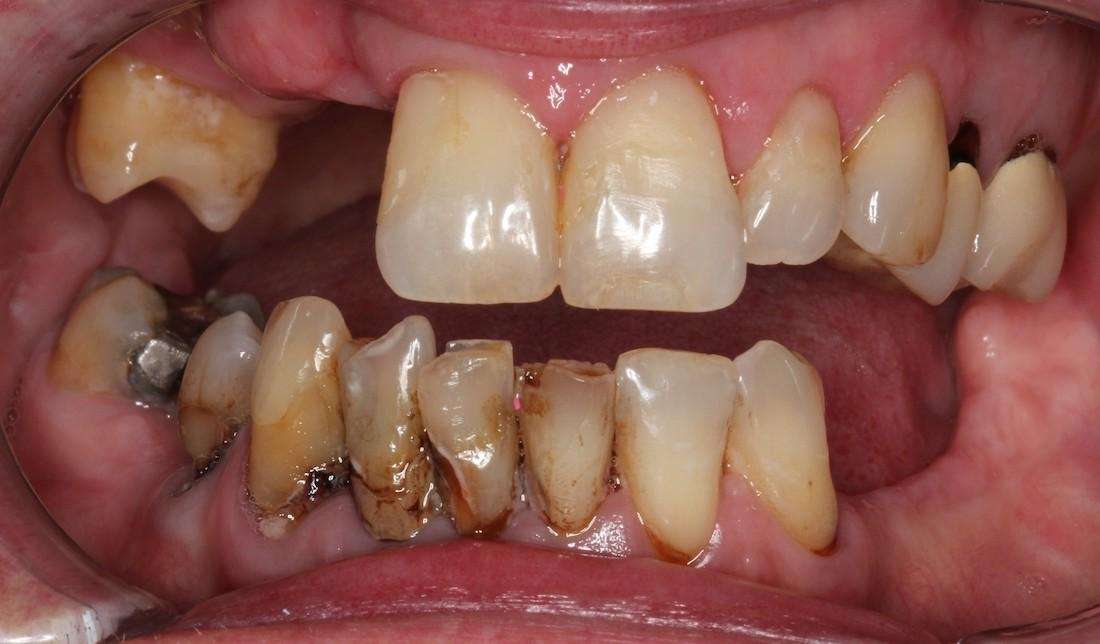
This patient presented with severe tooth decay, causing a degradation of multiple teeth. Once overall health was addressed, a combination of removable appliance therapy and crown treatment was completed to give the patient a new smile, a new bite, speech preservation, and facial support.
Related Services:
Service Performed By:
Drag the arrows back and forth to view complete Before and After views


