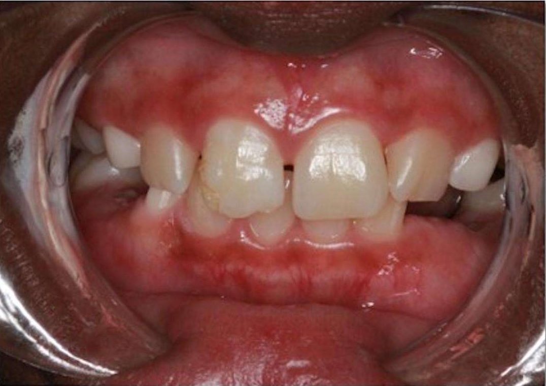
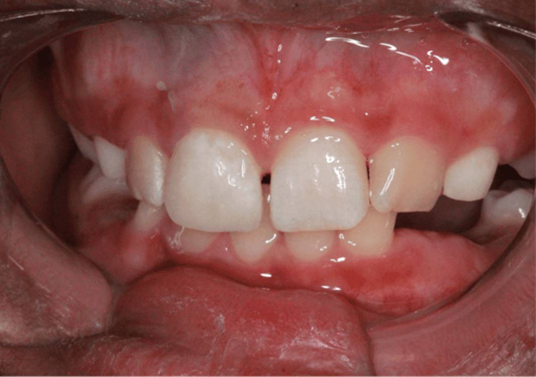
This young patient presented with a malformed tooth that affected their confidence. The tooth was restored with composite resin, and it gave the patient newfound joy to smile and speak.
Related Services:
Service Performed By:
Drag the arrows back and forth to view complete Before and After views


