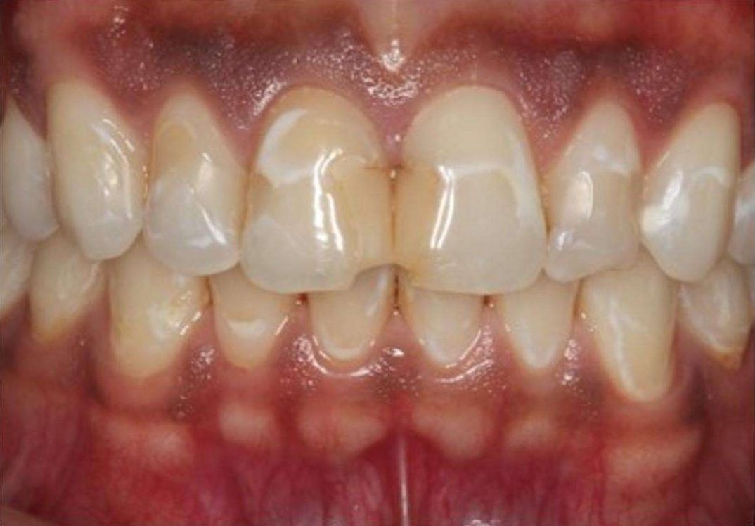
This patient presented with large restorations and decay encroaching on the nerve. Root canal treatment was performed to prevent severe pain, and crowns were placed to protect the remaining tooth structure. The crowns enhanced the patient’s appearance.
Drag the arrows back and forth to view complete Before and After views


