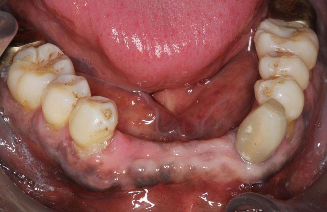
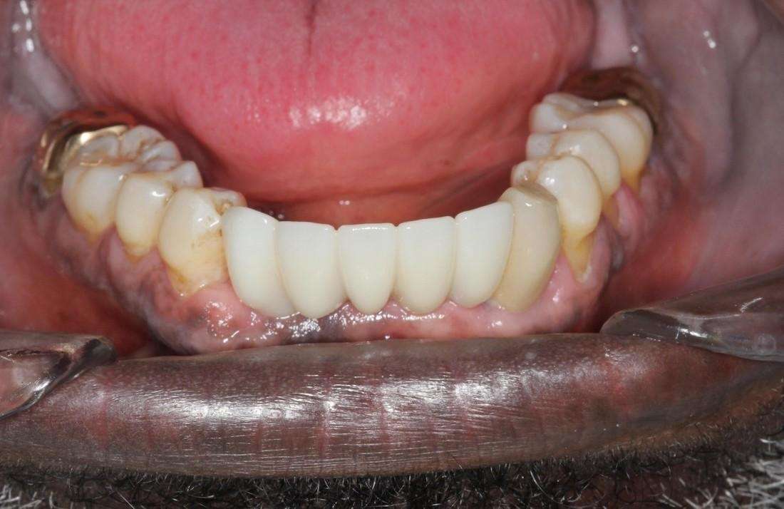
Severe gum disease caused multiple teeth to fail and severe bone infection in the patient. Once overall health was addressed, the patient chose to undergo bone grafting to rebuild lost bone and implant placement to maintain the remaining bone structure and restore missing teeth. This treatment provided proper lip support and restored proper speech.
Related Services:
Service Performed By:
Drag the arrows back and forth to view complete Before and After views


