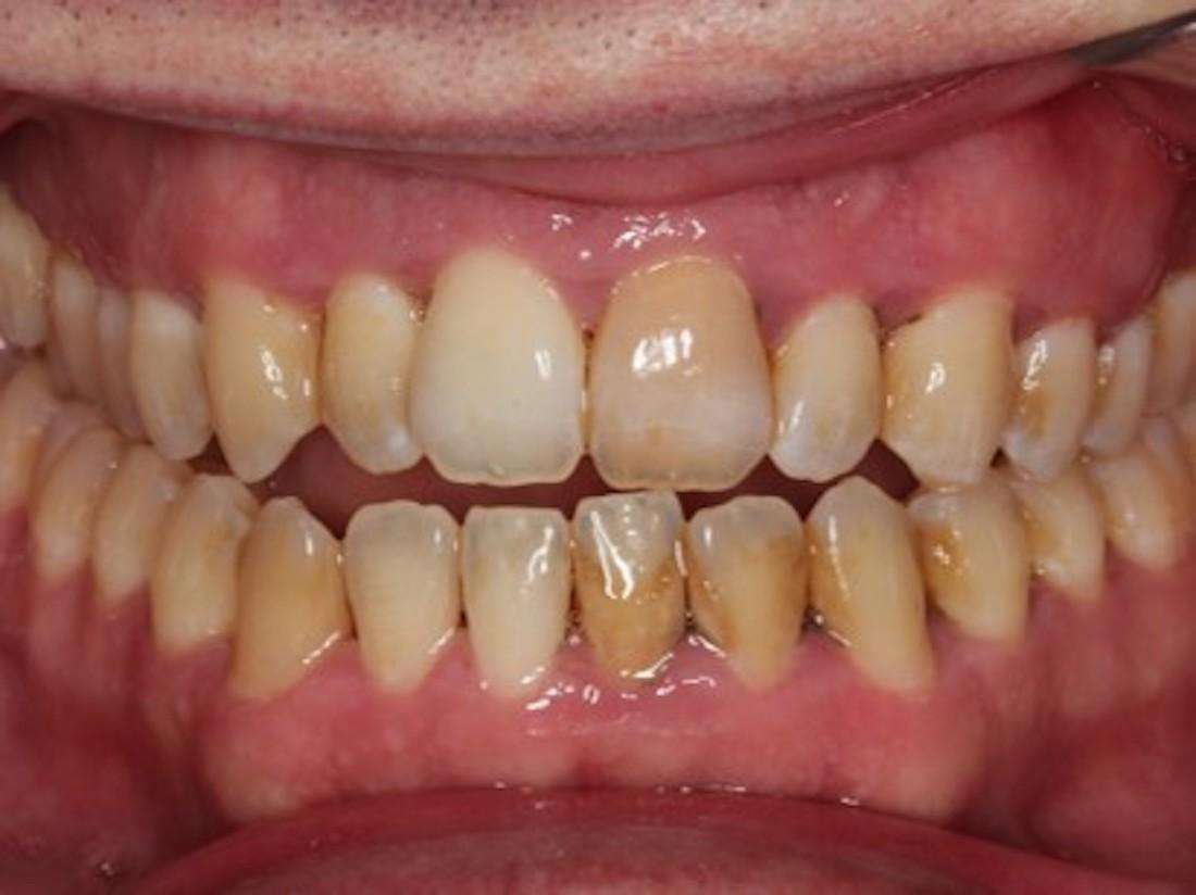
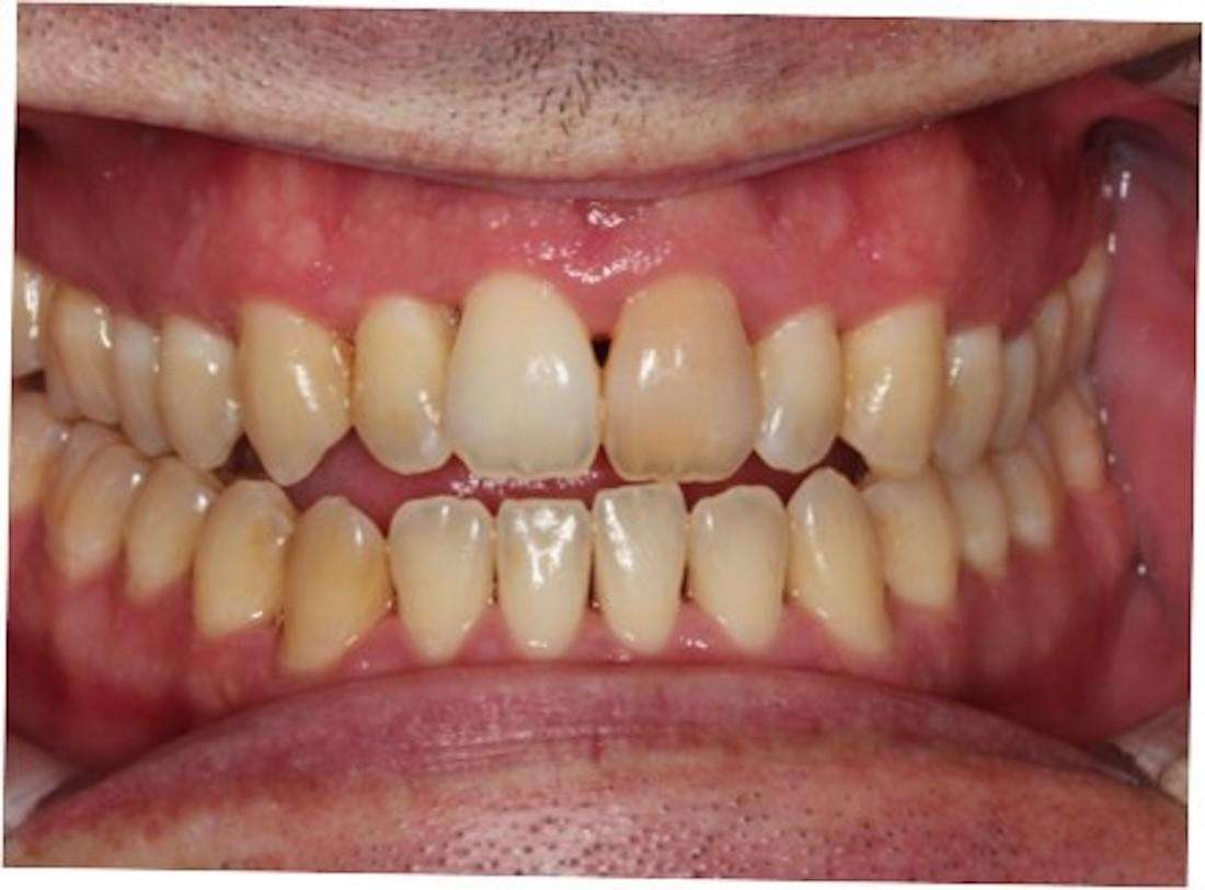
This patient presented with swelling gums, bleeding gums, and bone loss due to their immune response to bacteria toxins. Gum treatment was performed to fight the bacteria challenge, combat inflammation, and prevent further bone loss. Teeth were preserved, and continued gum maintenance extends protection to teeth and promotes total health.
Related Services:
Service Performed By:
Drag the arrows back and forth to view complete Before and After views


