Veneers & Bonding Before and After Images
The smile transformations we have achieved have been life-changing for our patients. Please take a moment to browse our before and after pictures, then call us to see what is possible for your smile!

before

after
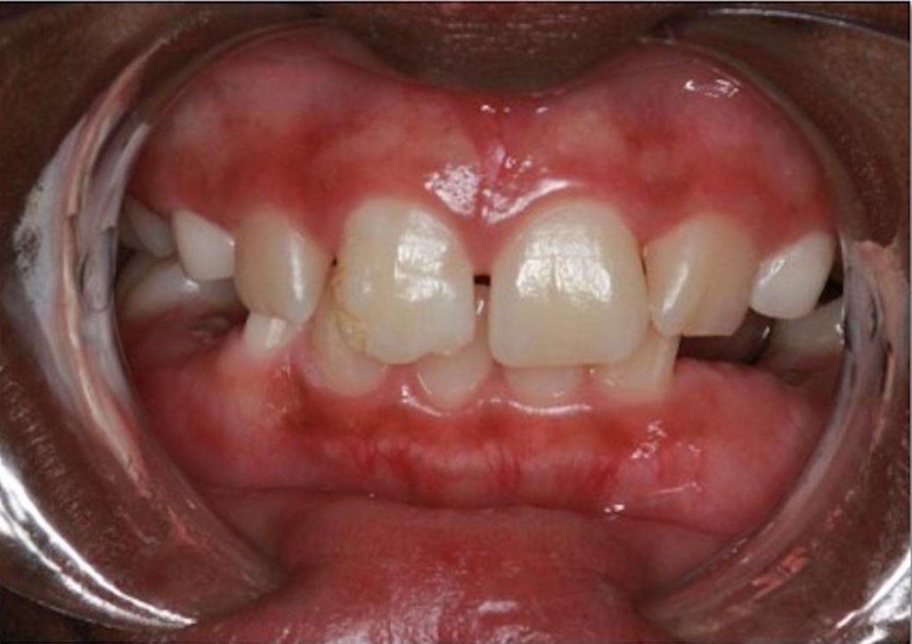
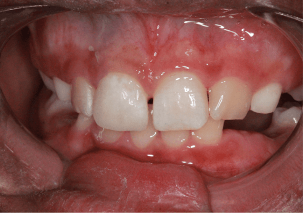
Restoring Malformed Tooth and Confidence in a Child
This young patient presented with a malformed tooth that affected their confidence. The tooth was restored with composite resin, and it gave the patient newfound joy to smile and speak.

before

after
Restoring Fractured Tooth and Smile with Composite Resin
This patient sustained a fall and fractured a front tooth. A composite resin restoration was placed immediately so that the patient could smile without feeling embarrassed and resume their daily routine with confidence.
