Before & After Dental Crown Photos


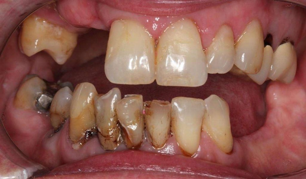
Restoring Worn Dentition
This patient was concerned about weak and crumbling teeth. Bite alignment was performed to improve jaw joint health, and crown treatment was done to preserve the existing tooth structure. This provided relief from joint pain and headaches, improved the stability of restorations, and restored the patient’s youthfulness and smile.


Restoring Large Existing and Decayed Restorations with Crowns
This patient presented with large restorations and decay encroaching on the nerve. Root canal treatment was performed to prevent severe pain, and crowns were placed to protect the remaining tooth structure. The crowns enhanced the patient’s appearance.


Smile and Functional Reconstruction
This patient presented with severe tooth decay, causing a degradation of multiple teeth. Once overall health was addressed, a combination of removable appliance therapy and crown treatment was completed to give the patient a new smile, a new bite, speech preservation, and facial support.
