Root Canal Before and After Images
The smile transformations we have achieved have been life-changing for our patients. Please take a moment to browse our before and after pictures, then call us to see what is possible for your smile!

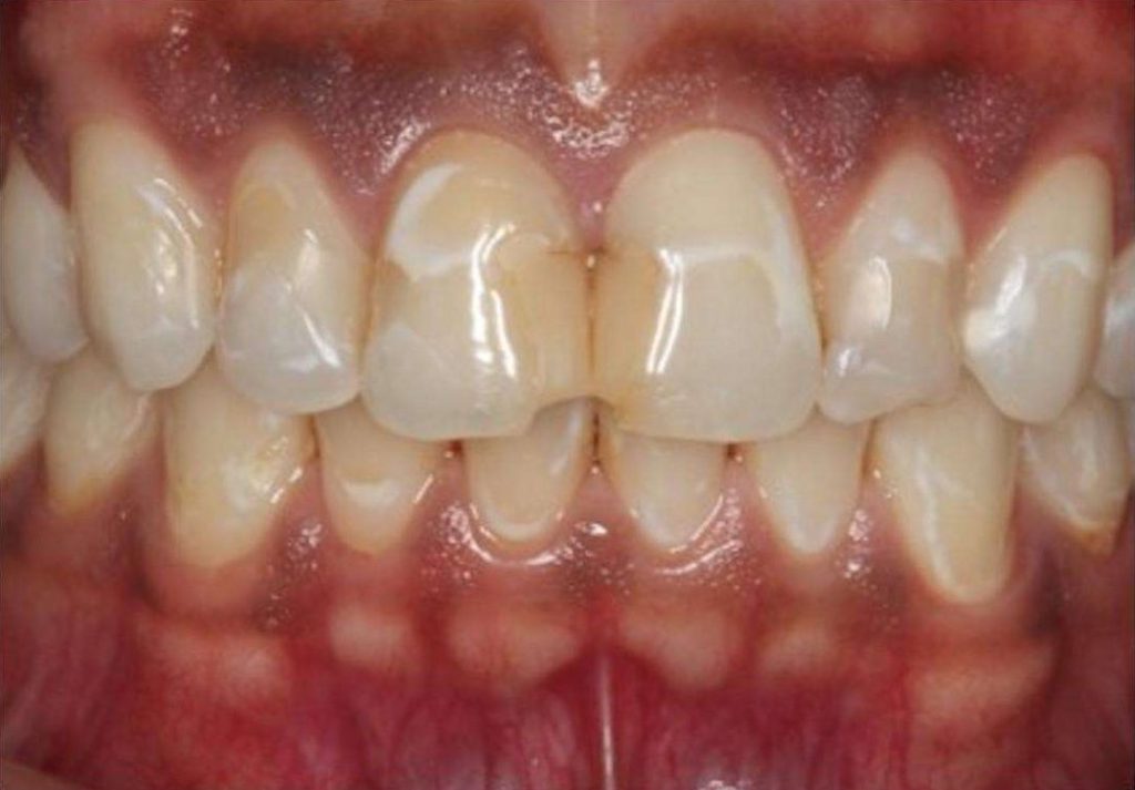
before

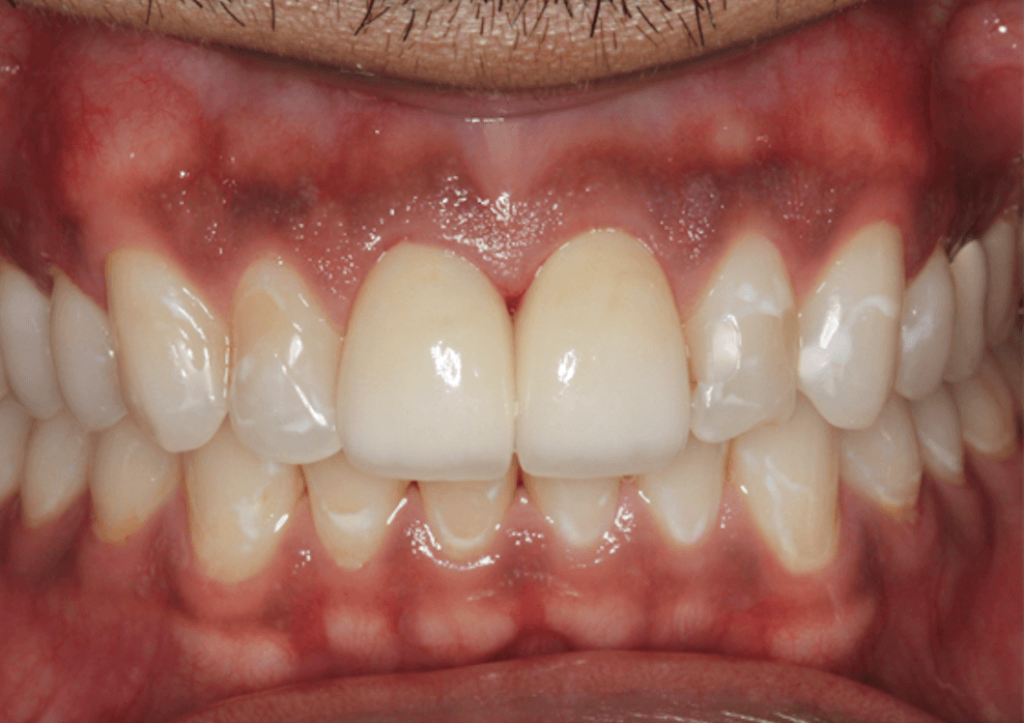
after
Restoring Large Existing and Decayed Restorations with Crowns
This patient presented with large restorations and decay encroaching on the nerve. Root canal treatment was performed to prevent severe pain, and crowns were placed to protect the remaining tooth structure. The crowns enhanced the patient’s appearance.
