Dental Implants Before & After Images
The smile transformations we have achieved have been life-changing for our patients. Please take a moment to browse our before and after pictures, then call us to see what is possible for your smile!

before

after
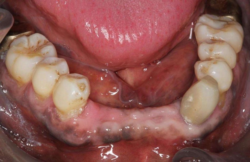
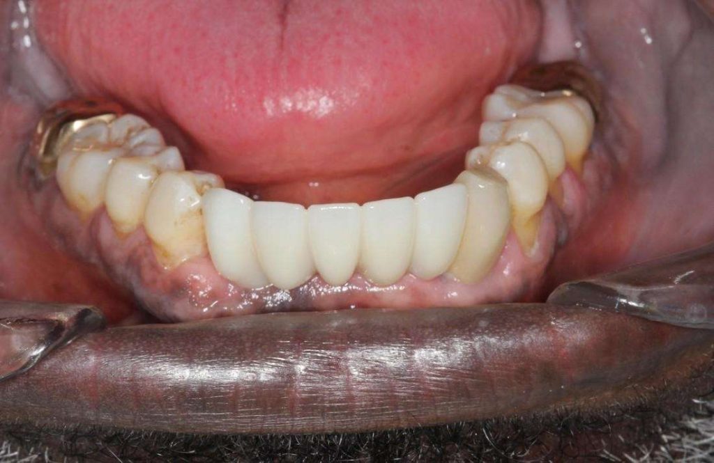
Restoring Infected Teeth
Severe gum disease caused multiple teeth to fail and severe bone infection in the patient. Once overall health was addressed, the patient chose to undergo bone grafting to rebuild lost bone and implant placement to maintain the remaining bone structure and restore missing teeth. This treatment provided proper lip support and restored proper speech.

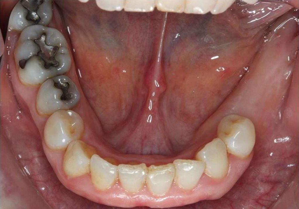
before

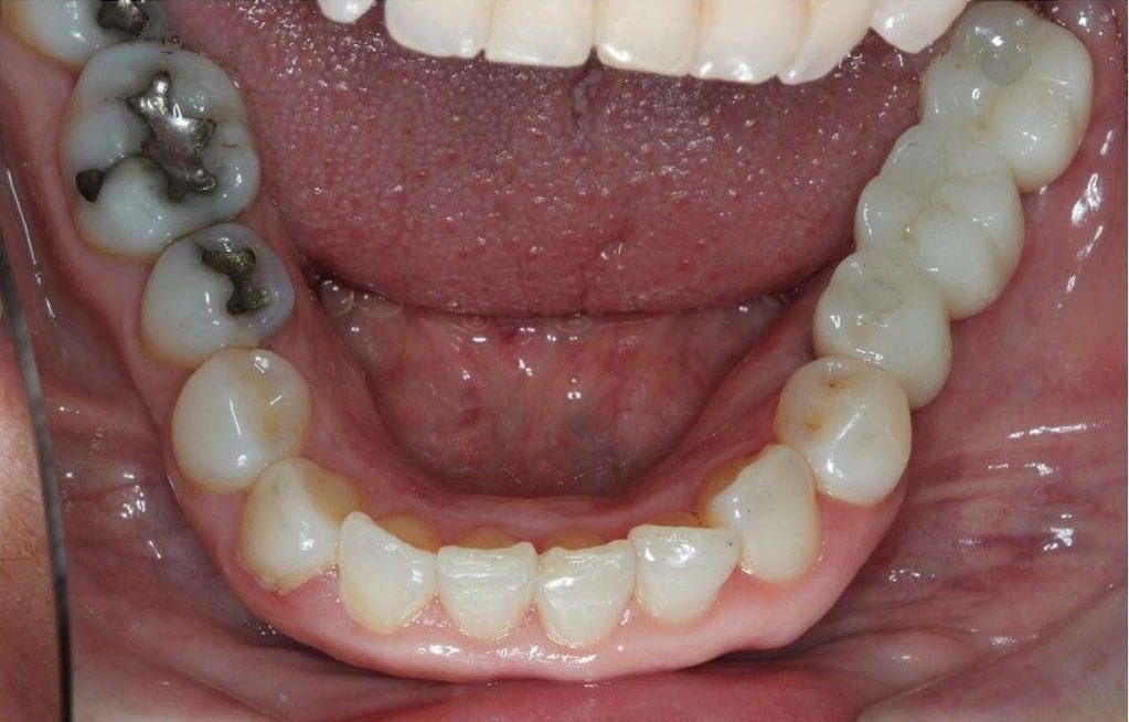
after
Restoring Chewing Ability and Bite Support with Implant Restorations
This patient presented with multiple missing teeth on one side of the mouth, causing a decreased chewing ability. Once overall health was addressed, implant restorations provided support for opposing teeth to prevent further shifting and restored the patient’s ability to chew and enjoy a meal.
